Highgrove Dental Care
A Great Dentist
  • Dental Office St. Paul MN
  • Dental Office St. Paul MN
  • Dental Office St. Paul MN

Please review our new patient safety
information

Welcome to Our Practice

Dr. Jadilyn Grittner and Dr. John Grittner along with our entire team are dedicated to giving you high-quality care without pain or anxiety. Our dental staff is professional, educated, and experienced in helping patients achieve optimum oral health and have the best dental experience ever! Take a moment to learn more about us. We look forward to seeing you at Highgrove Dental Care.

GET TO KNOW OUR TEAM

"We've been patients of Dr. Grittner since he took over. He's got a great personality and amazing skills. We've gone in for regular check ups and for difficult cases that required more immediate attention. We've always left happy. Highly recommended!"

Orthodontic Clear Aligners

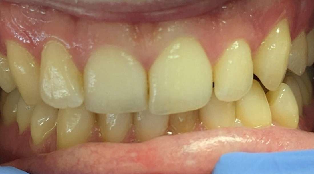
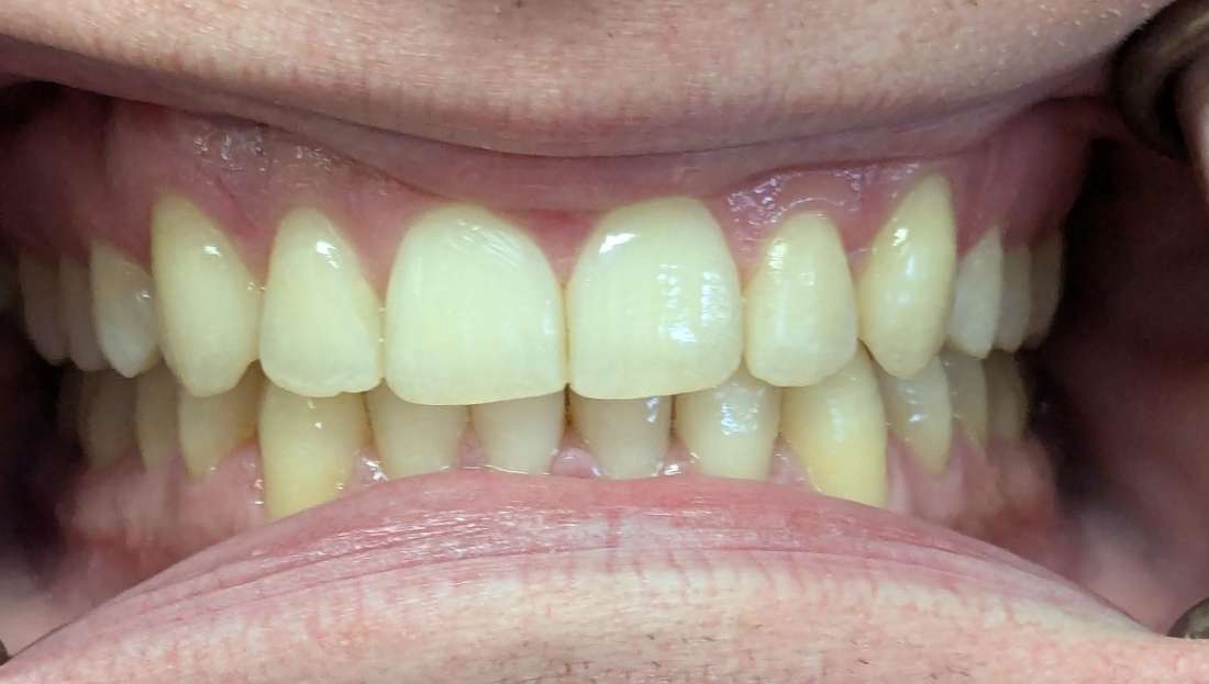
Clear Aligner Smile Transformation – Highgrove Dental Care | St. Paul, MN

In this before-and-after case, the patient came to us with mild crowding and uneven spacing. Using custom clear aligners, we gradually shifted the teeth into a more balanced, aligned position—resulting in a noticeably straighter, healthier-looking smile.

The transformation improved both appearance and function, giving the patient renewed confidence without the need for traditional braces. At Highgrove Dental Care, we’re proud to offer discreet, effective orthodontic solutions tailored to your unique needs.

Related Services:

ClearCorrect Clear Aligners
Bomi

My husband went in for cosmetic dentistry and highly recommended for many reasons, but the ones that stand out were:

1. No upselling of extra procedures or products
2. Very knowledgeable expertise with patient-friendly explanations
3. Quick and easy scheduling.

So recently I switched from my 10-year dentist to here for my regular teeth cleaning and was also pleasantly surprised by how thorough they were. Very welcoming, guiding/explaining every fine detail with me. I came out of the appointment feeling confident about my knowledge of my teeth and a bright shiny teeth showing smile. I highly remcmend!

Ready to book an appointment?
If you have difficulty using our website, please email us or call us at (651) 698-3828
View the ADA Accessibility Statement