Highgrove Dental Care
A Great Dentist
  • Dental Office St. Paul MN
  • Dental Office St. Paul MN
  • Dental Office St. Paul MN

Please review our new patient safety
information

Welcome to Our Practice

Dr. Jadilyn Grittner and Dr. John Grittner along with our entire team are dedicated to giving you high-quality care without pain or anxiety. Our dental staff is professional, educated, and experienced in helping patients achieve optimum oral health and have the best dental experience ever! Take a moment to learn more about us. We look forward to seeing you at Highgrove Dental Care.

GET TO KNOW OUR TEAM

"We've been patients of Dr. Grittner since he took over. He's got a great personality and amazing skills. We've gone in for regular check ups and for difficult cases that required more immediate attention. We've always left happy. Highly recommended!"

ClearCorrect Clear Aligners
Claim Your Beautiful Smile Today

Explore the comfort of ClearCorrect clear aligner therapy at our Saint Paul dental office.

clear aligner therapy in Saint Paul Minnesota with ClearCorrect
Schedule Your Free ClearCorrect Consultation!
Contact Us

ClearCorrect Aligners in Saint Paul

Everyone wants to have straight, beautiful teeth when they laugh, socialize with friends or business partners, or pose for photos. At Highgrove Dental Care, we offer anwoman putting in clearcorrect aligners in saint paul innovative orthodontic system called ClearCorrect in St. Paul, MN. These aligners act as invisible, removable braces our patients can use to gradually move their teeth into the desired position. 

 

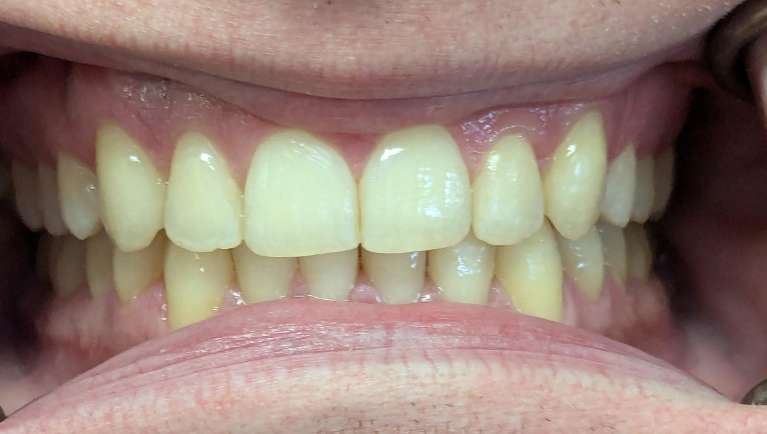
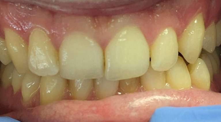
How Straight Teeth Can Improve Your Oral Health

Crooked or misaligned teeth can make a person feel embarrassed and self-conscious, but they can also threaten one's oral health. If teeth do not align properly, it can create what is called malocclusion.

The percentage of American adults who are expected to have malocclusion is as high as 75 percent. If left untreated, uneven bites and malocclusions can increase the risk of enamel wear, chips and breaks, cavities, gum disease, and more. Fortunately, ClearCorrect can realign your teeth and ultimately result in a healthier mouth.

  • ClearCorrect clear braces in Saint Paul Minnesota

    Clear Braces Free Consultation

    Clear aligners offer a comfortable alternative to straitening your teeth compared to traditional wire braces. If you've ever wondered if clear aligners could work for you, schedule your free consultation appointment with the Highgrove Dental Care team today! 

How Does ClearCorrect Work?

ClearCorrect is a series of clear, plastic aligners patients for a predetermined length of time. ClearCorrect fixes the following orthodontic issues:

  • Bite misalignment, including overbite, underbite, and crossbite
  • Crooked, overlapping, and twisted teeth
  • Uneven spacing between teeth and gaps

Patients can remove their aligners to eat and clean their teeth, and we advise patients to wear their aligners for 20 to 22 hours each day for optimal results. Because you can easily remove the aligners, patients can enjoy their favorite meals and practice hassle-free oral hygiene.

The smooth and snug aligners do not slip or move, nor do they irritate the mouth's soft tissues like metal wires and brackets often do.

Every two weeks, you wear the next aligner in the sequence until you complete your treatment. Over time, you will notice your teeth moving into a straighter, more desirable position. When you finish treatment, Dr. Jadilyn Grittner or Dr. John Grittner will create a custom retainer to maintain your newly aligned smile.

Is ClearCorrect in St. Paul Right for You?

First, you need to schedule a consultation with your St. Paul dentist. During this appointment, either Dr. John Grittner or Dr. Jadilyn Nguyen Grittner will talk with you about your smile goals, oral health needs, and expectations. We will also discuss the cost and treatment timeline, ranging from several months to two years, depending on your needs. Your dentist then examines your teeth and takes comprehensive digital X-rays.

If ClearCorrect can help you achieve your smile goals, we take digital impressions of your mouth. Every patient has unique teeth, and digital impressions map the contours of your mouth and dentition. We then send the scans to a ClearCorrect laboratory, where a specialist fabricates your clear, customized aligners.

Drs. Grittner may recommend an alternative treatment to better fit your needs if ClearCorrect is not suitable for you. Ultimately, our goal is to develop a treatment plan that best suits your oral health profile and surpasses your aesthetic expectations. With our help, your best smile is within reach!

Frequently Asked Questions

Are you considering discreet orthodontics to straighten your teeth?

Highgrove Dental Care offers a wide range of dentistry services, including ClearCorrect aligners. ClearCorrect gently moves teeth into position using clear aligner trays. Unlike traditionalpatient holding clear plastic aligner | dentist st paul mn orthodontics, patients can remove their aligners to enjoy their favorite meals and brush and floss their teeth. 

Cost of Clear Aligner Braces in Saint Paul

The cost of ClearCorrect transparent braces varies based on the patient’s specific case and how many aligners they need. After your ClearCorrect consultation with the dentist, our knowledgeable team can speak with you about the cost of treatment and review your treatment plan

How ClearCorrect Braces Can Help You 

Many patients appreciate ClearCorrect’s secrecy, comfortability, and exceptional results. ClearCorrect can remedy the following issues:

  • Bite misalignment, including underbite, overbite, open bite, and crossbite
  • Crooked, twisted, or overlapping teeth 
  • Gaps or uneven spacing between teeth 

Enhance Your Smile with Clear Braces in St. Paul 

Dr. Jadilyn Grittner and Dr. John Grittner offer ClearCorrect clear aligners to discreetly correct your bite and straighten teeth without using metal brackets or wires. If you want a healthier, more attractive smile, please get in touch with us to schedule your orthodontic consultation at our St. Paul dental office. 

ClearCorrect is an orthodontic treatment that uses custom-made, mouthpiece-like aligners to gradually shift teeth into alignment. As they're transparent and removable (for eating and brushing), ClearCorrect aligners are gaining popularity as a discreet, more comfortable alternative to traditionalwoman holding clear plastic aligner | clear aligners st paul mn braces.

How to care for your ClearCorrect aligners?

To maximize the effectiveness of the ClearCorrect treatment, proper aligner care is vital. Here are some tips for caring for your ClearCorrect aligners:

Rinse your aligners under cool or lukewarm water every time they're removed to wash away saliva and food particles.

Soak your aligners in a denture cleaner or a cleaning solution specifically designed for clear aligners (available online or at your dentist's office) in cold water (hot water could cause warping) daily to keep them clean.
Gently brush your aligners with a soft-bristled toothbrush and clear, mild soap. Note that toothpaste is to be avoided, as it can scratch the surface of the aligners.

  • Avoid eating or drinking (anything other than water) with your aligners in.
  • When the aligners aren't being worn, store them in a clean, dry container.
  • Rinse your aligners with water before placing them back in your mouth.

Discover Clear Braces in St. Paul, MN

If you're in St. Paul and would like to learn more about ClearCorrect aligners, contact dentist Dr. Jadlyn Grittner and the team at High Grove Dental Care to set up a consultation appointment!

Clear Orthodontics in St. Paul, MN Create Straight, Healthy Smiles

Having a beautiful smile will boost your confidence and ensure the longevity of your teeth and gums. In addition, straight teeth are often healthier because there is a lowerclearcorrect aligners in saint paul risk of dental wear, decay, and gum disease.

Many patients value the comfortability and secrecy ClearCorrect offers, not to mention the exceptional results!

Your St. Paul dentist offers ClearCorrect to discreetly straighten crooked teeth and align your bite without metal wires and brackets. If you want straighter teeth and a healthier smile, the first step is to schedule your free orthodontic consultation at our Highland Park dental office.

A preferred dental provider in the Highland Park area, we proudly serve all surrounding communities, including our neighbors in Highland, Eagan, and Mendota Heights.

We look forward to helping you attain your best smile!

Meet Our Doctors:

Jadilyn Grittner, DDS image

Jadilyn Nguyen Grittner DDS

Education

B.S. Biomedical Sciences (2004) Saint Cloud State University, MN

Doctor of Dental Surgery (2010) University of Minnesota School of Dentistry, MN 

Professional Affiliations

American Dental Association

Minnesota Dental Association

St. Paul District Dental Society

Advanced Training

Miniresidency in Pediatric Dentistry (2012)

ClearCorrect Invisible ...

Dr. John Grittner image

John Grittner DDS

Dr. John Grittner graduated from the University of MN with a biology degree, a minor in youth work, and a strong interest in child development. These explorations lead him to the field of dentistry where ...

Featured Blog Posts - ClearCorrect Clear Aligners

August 18, 2025

Clear Braces in St. Paul, MN, Experienced Dentist in Saint Paul

Crooked teeth can make smiling uncomfortable. You’re always aware that your teeth don’t line up as they should. Aside from aesthetics, misaligned teeth can affect your oral health in the following ways:

  • Jaw joint issues or pain
  • Premature wear on teeth
  • Premature tooth loss
  • Insufficient chewing
  • Teeth grinding (bruxism)

Our experienced dentist in Saint Paul, MN, can evaluate your teeth to determine whether clear braces, such as ClearCorrect®, are suitable for your orthodontic needs and goals.

What You Should Know About ClearCorrect

If you’re considering clear braces, you likely have questions about how they work.

Step 1: Your Consultation ...

March 26, 2024

How Can I Strengthen My Teeth with ClearCorrect?

close up of woman using invisalign

Clear braces in St. Paul, MN, straighten teeth by correcting improper alignment. In other words, our clear braces through ClearCorrect gradually shift the teeth into straighter positions across the treatment period, moving them incrementally as you change your aligners.

Let’s explore ClearCorrect, including how it works and its benefits.

About ClearCorrect

ClearCorrect is a series of clear aligners worn over the teeth. These aligners are custom-crafted from impressions of your teeth. You wear each set of aligners for about two weeks before moving on to the next. You visit our office occasionally ...

ClearCorrect for a Beautiful, Healthy Smile
Get Started!
If you have difficulty using our website, please email us or call us at (651) 698-3828
View the ADA Accessibility Statement
Privacy Policy